uMI 550


Digital. Accessible.

The uMI 550 makes digital PET/CT accessible to all. Built with uEXPLORER® PET technology inside, the uMI 550 enables academic level image quality in oncology, cardiology, and neurology scanning. Born with AI this system utilizes AI-empowered workflow and image reconstruction based on total-body data. This air-cooled system is designed to fit in your room with minimal infrastructure investment and is available for mobile units.


Improve Patient Care

The large 24 cm axial digital PET field of view (FOV) provides exceptional image quality with 2.9 mm NEMA resolution that improves quantitative accuracy and small lesion detectability.


Expand Clinical Efficiency

The uMI 550, born with AI, enables high-speed scanning without sacrificing image quality by combining the advanced AI iterative reconstruction engine trained with uEXPLORER® total-body PET data and a predictive AI-empowered workflow.


Protect Your Investment

With automated quality control programs, multiple radiopharmaceutical support and United Imaging's unique collaborative lifecycle approach, we are "All-In" to meet your needs today and in the future.

Clinical Application

Quantitative Accuracy for PET

High-Resolution PET

Lesion Detectability for PET

Fine Vascular Structure

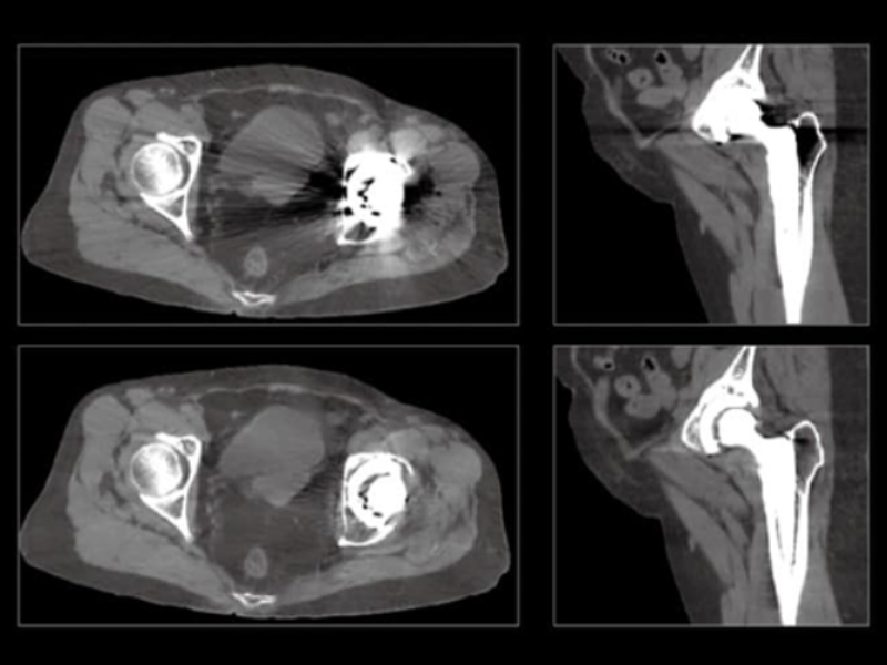
Metal Artifact Correction

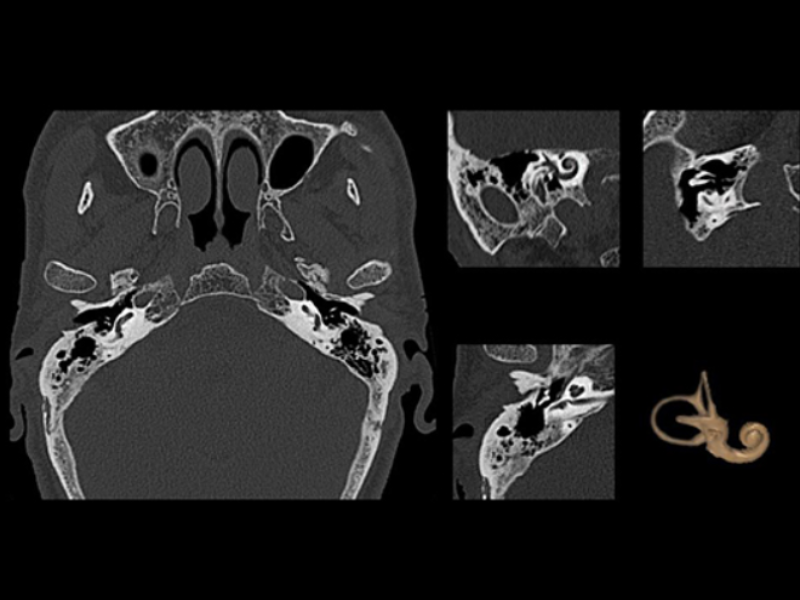
Ossicles and Inner Ear

Features & Benefits

Integrated-Light-Guide Digital PET Detector

The Integrated-Light-Guide improves light collection efficiency and spatial resolution to achieve exceptional image quality.

80-slice CT withZ-Detector

The ultra-low noise design of the Z-Detector helps produce high image quality with low radiation dose.

uAIr HYPER DPR

AI is only as good as the data you train it with. The CNN-based iterative reconstruction engine trained with uEXPLORER total-body PET data, uAI HYPER DPR uses a pre-trained neural network to predict low noise PET images and improve image contrast.

Long Axial Field of View

The Long axial 24 cm FOV and high system sensitivity enables whole-body scanning in 4 bed position within 8 minutes