
United Imaging’s Z-Detector architecture delivers high-resolution, low-noise imaging for all patient types at low dose. The same CT quality and software platform are available across the entire uCT portfolio, enabling consistent results regardless of system.
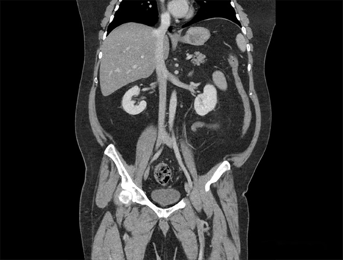
Image Courtesy Of Saint Joseph's Regional Medical Center, Indiana

AI-empowered workflows simplify CT procedures with 1-click positioning and automatic scan range selection based on the scout image. This improves consistency, image quality, and patient safety while allowing departments to manage higher throughput with ease.

All uCT systems are fully equipped to support a wide range of patient populations and clinical applications—from pediatric and bariatric cases to angiography and cardiology. Every system includes advanced applications and post-reconstruction analysis tools, helping you expand clinical capabilities with confidence.